Takayasu Arteritis In Jos Nigeria. A Case Report.
Main Article Content
Abstract
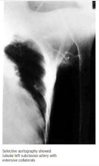
Takayasu arteritis (TA) is a chronic vasculitis of unknown aetiology involving the aorta and its major branches. It could also involve the coronary and pulmonary arteries. It was first noted in 1908 by a Japanase ophthalmologist, Mikijo Takayasu, who described the case of a 21 year old woman whose optic fundi 1 exhibited peculiar anastomosis. The disease has a worldwide distribution, but it is more common in South East Asia. It affects mainly young women, who account for about 90% of all cases in a 2 series from Japan. An international survey by Nunearo et al showed that the female to male ratio decreases as one 3 moves from east to west. On the African 4, 5 scene, few cases have been reported. The cases that have been reported from 6 South-West Nigeria were all females. We hereby report a case of TA in an adult Nigerian from the North. This to the best of our knowledge is the first case reported in a Nigerian male in literature.
Downloads
Article Details
Section

This work is licensed under a Creative Commons Attribution-NonCommercial 4.0 International License.
This is an open access journal, and articles are distributed under the terms of the Creative Commons Attribution-NonCommercial-ShareAlike 4.0 License, which allows others to remix, tweak, and build upon the work non-commercially, as long as appropriate credit is given and the new creations are licensed under the identical terms.
How to Cite
References
1. Numano F, Kakuta T. Takayasu arteritis II. Five doctors in the history of Takayasu arteritis. Int J. Cardiol 1996; 54(Supp): S1-S10.
2. Koide K. Takayasu arteritis in Japan. Heart Vessels 1992; 7 (Suppl): 48-54.
3. Numano F. Differences in clinical presentation and outcome in different countries for Takayasu arteritis. Curr. Opion Rheumatol 1997; 9:12-15.
4. Ladipo F. Roentgen diagnosis of a case of Takayasu's arteriopathy. Nig Med J. 1976; 6:92-3.
5. Bouramoue C, Assounga AGH. La maladie de Takayasu: A propos de 4 cas observes a' l'Hospital ge'ne'ral de Brazzaville (Congo) Trop. Card 1986; 12(46):45-50.
6. Ogunbiyi OA., Falase AO. Aortic arch syndrome Takayasu's arteritis in Nigeria. Afr.J. Med. Med. Sci. 1989; 18:211-214.
7. Shelhamer JH, Volkman DJ, Parillo JE et al: Takayasu's arteritis and its therapy Ann. Inten Md. 1985; 103:121.
8. Kimura A, Kitamura H. Date Y, Nunano F. Takayasu arteritis III: Comprehensive analysis of HLA gene in Takayasu arteritis in Japan. Int. J.
Cardiol 1998; 54(Suppl): 565-73.
9. Girona E, Yamamoo Furusho JK., Cutino T, et al: HLA-DR6 (possibly DRB1*1301) is associated with susceptibility to Takayasu arteritis in
Mexicans. Heart Vessels. 1996;1(6):277-80.
10. Mehra NK Rayalingam R, Soyar S, Jain S. Sharma BK, Direct role of HLA B5 in influencing susceptibility to Takayasu aorto arteritis Int J.
Cardiol. 1996;54(Suppl):571-79.
11. Numano F. Takayasu arteritis beyond pulselessress. Intern Med 1999; 38:226-32.
12. Numano F, Okawara M, Inomata H, Kobayashi Y. Takayasu's arteritis. Lancet 2000;356:1023-25.
13. Arend WP, Michel BA, Bloch DA, Hunder GG, et al. The American College of Rheumatology 1990 Criteria for the classification of Takayasu arteritis. Arthritis Rheum. 1990;33(8): 1129-34.
14. Parrillo JE, Fauci AS. Necrotising vasculitis, Coronary angiitis and the Cardiologist. American Heart J. 1980 99(5) 547-554.