Magnetic Resonance Imaging Findings in Hydrocele of the Canal of Nuck
Main Article Content
Abstract
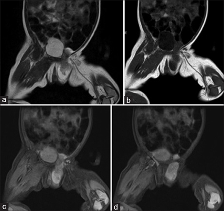
Hydrocele of the canal of Nuck is a rare cause of inguinal swelling in females. It is usually seen in the newborn and in children and rarely seen in adult females. We report a case of hydrocele of the canal of Nuck in an 18‑month‑old female who presented with a swelling in the left inguinal region, extending into the labia majora. Abdomino‑pelvic ultrasonography revealed a tortuous heterogeneously hyperechoic structure inside an anechoc sac. Magnetic resonance imaging was done for further evaluation, which showed an elongated cystic lesion in the left inguinal region extending into the left labia majora. There was a heterogeneous tubular structure seen inside the sac, which appearance resembled the round ligament and ovary. These findings were suggestive of hydrocele of the canal of nuck with herniation. Surgery was done which confirmed a hydrocele of the canal of Nuck with herniation of the round ligament, left ovary and part of the uterus in the sac.
Downloads
Article Details
Section

This work is licensed under a Creative Commons Attribution-NonCommercial 4.0 International License.
This is an open access journal, and articles are distributed under the terms of the Creative Commons Attribution-NonCommercial-ShareAlike 4.0 License, which allows others to remix, tweak, and build upon the work non-commercially, as long as appropriate credit is given and the new creations are licensed under the identical terms.
How to Cite
References
1. Park SJ, Lee HK, Hong HS, Kim HC, Kim DH, Park JS, et al. Hydrocele of the canal of nuck in a girl: Ultrasound and MR appearance. Br J Radiol 2004;77:243‑4.
2. Hosseinzadeh K, Heller MT, Houshmand G. Imaging of the female perineum in adults. Radiographics 2012;32:E129‑68.
3. Schwartz A, Peyser MR. Nuck’s hydrocele (hydrocele muliebris). Int Surg 1975;60:91‑2.
4. Anderson CC, Broadie TA, Mackey JE, Kopecky KK. Hydrocele of the canal of nuck: Ultrasound appearance. Am Surg 1995;61:959‑61.
5. Ihekwaba FN. Hydrocele in the female. J R Coll Surg Edinb 1981;26:91‑3.
6. Kucera PR, Glazer J. Hydrocele of the canal of Nuck. A report of four cases. J Reprod Med 1985;30:439‑42.
7. Block RE. Hydrocele of the canal of nuck. A report of five cases. Obstet Gynecol 1975;45:464‑6.
8. Stickel WH, Manner M. Female hydrocele (cyst of the canal of Nuck): Sonographic appearance of a rare and little‑known disorder. J Ultrasound Med 2004;23:429‑32.
9. Schneider CA, Festa S, Spillert CR, Bruce CJ, Lazaro EJ. Hydrocele of the canal of nuck. N J Med 1994;91:37‑8.
10. Soh H, Sheah K, Ong KO. Hydrocele of the canal of Nuck: Ultrasound and MRI findings. Rep Med Imaging 2011;4:15‑7.
11. Jagdale R, Agrawal S, Chhabra S, Jewan SY. Hydrocele of the canal of nuck: Value of radiological diagnosis. J Radiol Case Rep 2012;6:18‑22.