The "CT Comma Sign" in Concurrent Extradural and Hyperacute Subdural Hematomas is Revisited
Main Article Content
Abstract
Extradual hematoma (EDH) is the collection of blood between the inner skull table and dura, and appears as a biconvex‑lens shape on imaging.[1,2] In comparison to EDH, the subdural hematoma (SDH) is a collection of blood between the dura and arachnoid membrane and it has a biconcave‑lens shape on imaging.[1,3] In the acute stage, most of these hematomas present as hyperdense lesions on computerized tomography (CT) images.[1‑4] In rare circumstances, a patient can have acute extradural hematoma and subdural hematoma adjacent to each other on the same side with a characteristic imaging appearance.[5,6]
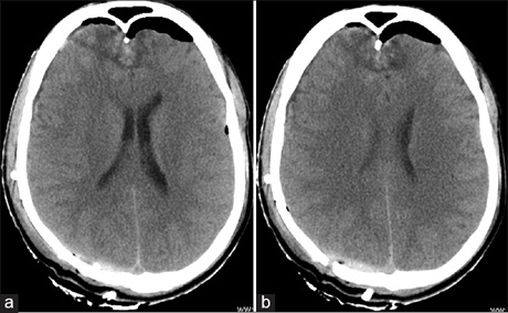
A 26‑year‑old male patient sustained head injury in a road traffic accident and presented 6 hours after to the emergency department. The patient was unconscious from the time of injury and had multiple episodes of vomiting. There was no history of seizures or nasal/ear bleeds. His general and systemic examination was unremarkable. Neurologically, he had altered sensorium [Glasgow coma score (GCS)‑E1V2M5]. Pupils were bilaterally equal and reactive to light. He moved all four limbs normally. He had multiple abrasions over face and scalp.
Downloads
Article Details
Section

This work is licensed under a Creative Commons Attribution-NonCommercial 4.0 International License.
This is an open access journal, and articles are distributed under the terms of the Creative Commons Attribution-NonCommercial-ShareAlike 4.0 License, which allows others to remix, tweak, and build upon the work non-commercially, as long as appropriate credit is given and the new creations are licensed under the identical terms.
How to Cite
References
1. Toyama Y, Kobayashi T, Nishiyama Y, Satoh K, Ohkawa M, Seki K. CT for acute stage of closed head injury. Radiat Med 2005;23:309‑16.
2. Klufas RA, Hsu L, Patel MR, Schwartz RB. Unusual manifestations of head trauma. AJR Am J Roentgenol 1996;166:675‑81.
3. Merino‑deVillasante J, Taveras JM. Computerized tomography (CT) in acute head trauma. AJR Am J Roentgenol 1976;126:765‑78.
4. Besenski N. Traumatic injuries: Imaging of head injuries. Eur Radiol 2002;12:1237‑52.
5. Gupta R, Mohindra S, Verma SK. Traumatic ipsilateral acute extradural and subdural hematoma. Indian J Neurotrauma 2008;5:113‑4.
6. Monsalve GA. The” CT comma sign” in head trauma: Concurrent epidural and subdural acute intracranial hematomas. J Trauma Acute Care Surg 2007;63:195‑6.
7. Baratham G, Dennyson WG. Delayed traumatic intracerebral haemorrhage. J Neurol Neurosurg Psychiatry 1972;35:698‑706.
8. Diaconis JN, Rao KC. CT in head trauma: A review. J Comput Tomogr 1980;4:261‑70.
9. Mohindra S, Mukherjee KK, Gupta R, Chhabra R, Gupta SK, Khosla VK. Decompressive surgery for acute subdural haematoma leading to contralateral extradural haematoma: A report of two cases and review of literature. Br J Neurosurg 2005;19:490‑4.
10. Yoshino Y, Aoki N, Oikawa A, Ohno K. Acute epidural hematoma developing during twist‑drill craniostomy: A complication of percutaneous subdural tapping for the treatment of chronic subdural hematoma. Surg Neurol 2000;53:601‑4.
11. Madhugiri VS, Arimappamagan A, Chandramouli BA. Traumatic epidural and subdural hematomas and extensive brain infarcts in a patient with pial arteriovenous malformation: Mechanisms underlying clinical and radiological findings. Asian J Neurosurg 2012;7:210‑3.
12. Pickard JD, Bailey S, Sanderson H, Rees M, Garfield JS. Steps towards cost‑benefit analysis of regional neurosurgical care. BMJ 1990; 301:629‑35.
13. Agrawal A, Agrawal C, Kumar A, Adhikari S. Outcome of traumatic extradural haematoma managed surgically: Our experience. Niger J Orthop Trauma 2007;6:74‑6.
14. Agrawal A. Bilateral symmetrical parietal extradural hematoma. J Surg Tech Case Rep 2011;3:34‑6.
15. Kapsalaki EZ, Machinis TG, Robinson JS 3rd, Newman B, Grigorian AA, Fountas KN. Spontaneous resolution of acute cranial subdural hematomas. Clin Neurol Neurosurg 2007;109:287‑91.
16. Massaro F, Lanotte M, Faccani G, Triolo C. One hundred and twenty‑seven cases of acute subdural haematoma operated on. Acta Neurochir (Wien) 1996;138:185‑91.