MRI Features of Multiple System Atrophy
Main Article Content
Abstract
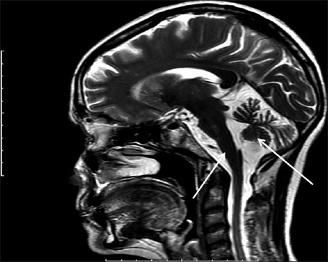
Multiple system atrophy (MSA) is a synucleinopathy, characterized by combined manifestations of cerebellar, parkinsonian, and autonomic features. It is subdivided into two main types-parkinsonian MSA (MSA-P) and cerebellar MSA (MSA-C). Magnetic resonance imaging (MRI) of the brain is a valuable tool in diagnosing this condition as it shows many characteristic features, such as the ‘hot cross bun’ sign. This is a cruciform hyperintensity imaging feature, seen at the level of pons in axial T2-weighted MRI images. This sign is typically seen in patients with MSA-C. This reported case describes a patient with MSA-C with characteristics brain MRI features.
Downloads
Article Details
Section

This work is licensed under a Creative Commons Attribution-NonCommercial 4.0 International License.
This is an open access journal, and articles are distributed under the terms of the Creative Commons Attribution-NonCommercial-ShareAlike 4.0 License, which allows others to remix, tweak, and build upon the work non-commercially, as long as appropriate credit is given and the new creations are licensed under the identical terms.
How to Cite
References
1. Chavarría C, Souza JM. Oxidation and nitration of α‑synuclein and their implications in neurodegenerative diseases. Arch Biochem
Biophys 2013;533:25‑32.
2. Watanabe H, Saito Y, Terao S, Ando T, Kachi T, Mukai E, et al. Progression and prognosis in multiple system atrophy: An analysis
of 230 Japanese patients. Brain 2002;125:1070‑83.
3. Schrag A, Kingsley D, Phatouros C, Mathias CJ, Lees AJ, Daniel SE, et al. Clinical usefulness of magnetic resonance imaging in multiple system atrophy. J Neurol Neurosurg Psychiatry 1998;65:65‑71.
4. Bhattacharya K, Saadia D, Eisenkraft B, Yahr M, Olanow W, Drayer B, et al. Brain magnetic resonance imaging in multiple‑system atrophy and Parkinson disease: A diagnostic algorithm. Arch Neurol 2002;59:835‑42.
5. Stern MB, Braffman BH, Skolnick BE, Hurtig HI, Grossman RI. Magnetic resonance imaging in Parkinsons disease and parkinsonian syndromes. Neurology 1989;39:1524‑6.
6. Srivastava T, Singh S, Goyal V, Shukla G, Behari M. "Hot cross bun" sign in two patients with multiple system atrophy‑cerebellar.
Neurology 2005;64:128.
7. Takao M, Kadowaki T, Tomita Y, Yoshida Y, Mihara B. "Hot‑cross bun sign" of multiple system atrophy. Intern Med 2007;46:1883.