Published: 2025-08-15

Analysis and Economic Implications of X-ray Film Repeat/Reject in selected Hospitals in Ghana

Dr. Eric Kwasi Ofori, William Kwadwo Antwi, Lawrence Arthur, Cofie Afua Yeboah, Klenam Dzefi-Tettey (Author)

14-18

Views | PDF/EPUB Downloads : 298 / 50 / 25
DOI: https://doi.org/10.82235/wajr.vol20no2.231

Current status of Radiation Oncology Facilities in Nigeria

Dr. Sunday Adeyemi Adewuyi, Oladapo Babatunde Campbell, Kingsley Kayode Ketiku, Francis Abayomi Duronsinmi-Etti, Josbat Thomas Kofi-Duncan, Philip Chinedu Okere (Author)

30-36

Views | PDF/EPUB Downloads : 402 / 39 / 36
DOI: https://doi.org/10.82235/wajr.vol20no1.232
Views | PDF/EPUB Downloads : 413 / 95 / 42
DOI: https://doi.org/10.82235/wajr.vol20no1.233
Views | PDF/EPUB Downloads : 219 / 31 / 26
DOI: https://doi.org/10.82235/wajr.vol20no1.234

Radiation Protection and Dose Awareness Among Doctors in a Nigerian Teaching Hospital: A Preliminary study

Dr. Olusola C. Famurewa, Oluwagbemiga O. Ayoola, Ayodele O Ogunsemoyin, Adedeji A Onayade (Author)

37-40

Views | PDF/EPUB Downloads : 229 / 33 / 27
DOI: https://doi.org/10.82235/wajr.vol20no1.235

Renal Complications of sickle Cell Anemia in Zaria, Nigeria: An ultrasonographic Assessment

Dr. Philip Oluleke Ibinaiye, Aliyu Ahmadu Babadoko, Rasheed Yusuf, Abdul-Aziz Hassan (Author)

19-22

Views | PDF/EPUB Downloads : 258 / 28 / 22
DOI: https://doi.org/10.82235/wajr.vol20no1.220
Views | PDF/EPUB Downloads : 342 / 61 / 51
DOI: https://doi.org/10.82235/wajr.vol20no1.236

The value of Magnetic Resonance Cholangiopancreatography in the Detection of Choledocholithiasis

Dr. Ankur Mandelia, Arun Kumar Gupta, Devendra Kumar Verma, Sanjeev Sharma (Author)

23-29

Views | PDF/EPUB Downloads : 182 / 26 / 22
DOI: https://doi.org/10.82235/wajr.vol20no1.237

Imaging Clues for Exophytic liver lesions

Dr. Sheo Kumar, Basant Kumar, Rama N Sundarayan, Aneesh M Malal (Author)

41-44

Views | PDF/EPUB Downloads : 144 / 49 / 26
DOI: https://doi.org/10.82235/wajr.vol20no1.261

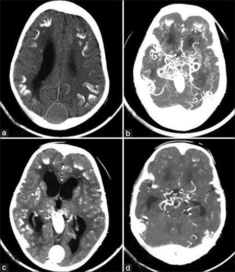
vein of Galen Aneurysmal Malformation in Children: Challenges of Imaging in An African setting

Dr. Godwin Inalegwu Ogbole, Amos Olufemi Adeleye, Richard Busayo Olatunji (Author)

45-49

Views | PDF/EPUB Downloads : 249 / 70 / 26
DOI: https://doi.org/10.82235/wajr.vol20no1.262