Cerebral Aspergilloma Mimicking Tumoral Mass: A Diagnostic Dilemma
Main Article Content
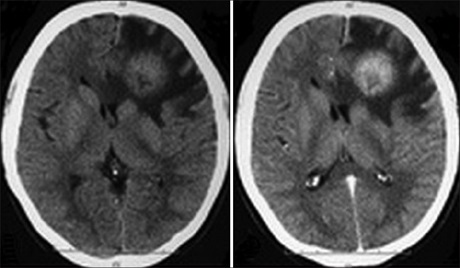
Abstract
Intracranial aspergillosis infection is very rare in immunocompetent patients. Among its varied presentations a solitary intracranial mass is very uncommon. It is usually misdiagnosed as tumor or abscess. A high index of clinical suspicion coupled with an early diagnosis can potentially be life saving. Because of its rarity in the immunocompetent patient and difficultly in preoperative diagnosis we illustrate this case.
Downloads
Article Details
Section

This work is licensed under a Creative Commons Attribution-NonCommercial 4.0 International License.
This is an open access journal, and articles are distributed under the terms of the Creative Commons Attribution-NonCommercial-ShareAlike 4.0 License, which allows others to remix, tweak, and build upon the work non-commercially, as long as appropriate credit is given and the new creations are licensed under the identical terms.
How to Cite
References
1. Siddiqui AA, Shah AA, Bashir SH. Craniocerebral aspergillosis of sinonasal origin in immunocompetent patients: Clinical spectrum
and outcome in 25 cases. Neurosurgery 2004;55:602‑11.
2. Figueiredo EG, Fonoff E, Gomes M, Macedo E, Marino Júnior R. Tumoral form of aspergillosis in central nervous system (cerebral
aspergilloma): Case report. Sao Paulo Med J 2003;121:251‑3.
3. Sharma BS, Khosla VK, Kak VK, Banerjee AK, Vasishtha RK, Prasad KS, et al. Intracranial fungal granuloma. Surg Neurol 1997; 47:489‑97.
4. Gupta RK, Lufkin RB, MR Imaging and Spectroscopy of the Central Nervous System Infections. New York: Kluwer Academic/Plenum Publishers; 2001. p. 177‑203.