Serial Imaging in a Case of Regional Migratory Osteoporosis
Main Article Content
Abstract
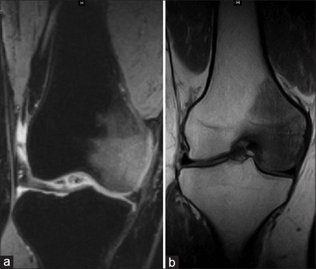
Regional migratory osteoporosis (RMO) is an uncommon disorder that predominantly affects middle-aged males, presenting as
migrating arthralgia involving the lower extremities. It is a transient condition that involves joints without preexisting disease and
resolves spontaneously without long‑term sequelae. We describe serial imaging findings in a patient with RMO followed over a period
using various imaging modalities which showed typical migrating osteopenia involving the knee, ankle, and foot.
Downloads
Article Details
Section

This work is licensed under a Creative Commons Attribution-NonCommercial 4.0 International License.
This is an open access journal, and articles are distributed under the terms of the Creative Commons Attribution-NonCommercial-ShareAlike 4.0 License, which allows others to remix, tweak, and build upon the work non-commercially, as long as appropriate credit is given and the new creations are licensed under the identical terms.
How to Cite
References
1. Duncan H, Frame B, Frost H, Arnstein AR. Regional migratory osteoporosis. South Med J 1969;62:41‑4.
2. Curtiss PH Jr, Kincaid WE. Transitory demineralization of the hip in pregnancy. A report of three cases. J Bone Joint Surg Am 1959;41:1327‑33.
3. Lakhanpal S, Ginsburg WW, Luthra HS, Hunder GG. Transient regional osteoporosis. A study of 56 cases and review of the literature. Ann Intern Med 1987;106:444‑50.
4. Mavichak V, Murray TM, Hodsman AB, Robert NJ, Sutton RA. Regional migratory osteoporosis of the lower extremities with vertebral osteoporosis. Bone 1986;7:343‑9.
5. Banas MP, Kaplan FS, Fallon MD, Haddad JG. Regional migratory osteoporosis. A case report and review of the literature. Clin Orthop
Relat Res 1990:303‑9.
6. Minutoli F, Gaeta M, Bottari A, Blandino A. MRI findings in regional migratory osteoporosis of the knee migrating from the femur to the tibia. Clin Imaging 2006;30:428‑30.
7. Toms AP, Marshall TJ, Becker E, Donell ST, Lobo‑Mueller EM, Barker T. Regional migratory osteoporosis: A review illustrated by five cases. Clin Radiol 2005;60:425‑38.
8. Karantanas AH, Nikolakopaulos I, Korompilias AV, Apostolaki E, Skoulikaris N, Eracleous E. Regional migratory osteoporosis in the knee: MRI findings in 22 patients and review of the literature. Eur J Radiol 2008;67:34‑41.
9. MacLean SB, Kumar R, Clough TM, Jenkins JPR, Barrie JL, Wood PL. Transient Regional migratory osteoporosis in the ankle and foot: A case series and literature review. Foot Ankle Online J 2009;2:1‑10.
10. Suresh SS, Thomas JK, Raniga S. Migrating transient osteoporosis of the hip in a 30‑year‑old man. Indian J Orthop 2009;43:301‑4.
11. Nikolaou V, Pilichou A, Korres D, Efstathopoulos N. Transient osteoporosis of the knee. Orthopedics 2008;31:502.
12. Rosen RA. Transitory demineralization of the femoral head. Radiology 1970;94:509‑12.
13. Dunstan CR, Evans RA, Somers NM. Bone death in transient regional osteoporosis. Bone 1992;13:161‑5.
14. Major GA. Regional migratory osteoporosis. Postgrad Med J 1984;60:420‑3.
15. Swezey RL. Transient osteoporosis of the hip, foot and knee. Arthritis Rheum 1970;13:858‑68.
16. Miyanishi K, Yamamoto T, Nakashima Y, Shuto T, Jingushi S, Noguchi Y, et al. Subchondral changes in transient osteoporosis of the hip. Skeletal Radiol 2001;30:255‑61.
17. El Masry MA, Saha A, Calder SJ. Transient osteoporosis of the knee following trauma. J Bone Joint Surg Br 2005;87:1272‑4.
18. Cahir JG, Toms AP. Regional migratory osteoporosis. Eur J Radiol 2008;67:2‑10.
19. Trevisan C, Ortolani S, Monteleone M, Marinoni EC. Reginal migratory osteoporosis: A pathogenic hypothesis based on three cases and a review of literature. Clin Rheumatol 2002;21:418‑25.
20. Frost HM. Perspectives: Bone’s mechanical usage windows. Bone Miner 1992;19:257‑71.
21. Negri G, Grassi S, Zappia M, Cappabianca S, Rambaldi PF, Mansi L. A new hypothesis for the bone marrow edema pathogenesis during
transient osteoporosis. J Orthop Traumatol 2006;7:176‑81.
22. McCarthy EF. The pathology of transient regional osteoporosis. Iowa Orthop J 1998;18:35‑42.
23. Hofmann S, Engel A, Neuhold A, Leder K, Kramer J, Plenk H Jr. Bone‑marrow oedema syndrome and transient osteoporosis of the hip. An MRI‑controlled study of treatment by core decompression. J Bone Joint Surg Br 1993;75:210‑6.
24. Wilson AJ, Murphy WA, Hardy DC, Totty WG. Transient osteoporosis: Transient bone marrow edema? Radiology 1988;167:757‑60.
25. Parker RK, Ross GJ, Urso JA. Transient osteoporosis of the knee. Skeletal Radiol 1997;26:306‑9.
26. Fertakos RJ, Swayne LC, Colston WC. Three‑phase bone imaging in bone marrow edema of the knee. Clin Nucl Med 1995;20:587‑90.
27. Arnstein RA. Regional osteoporosis. Orthop Clin North Am 1972;3:585‑600.
28. Langloh ND, Hunder GG, Riggs BL, Kelly PJ. Transient painful osteoporosis of the lower extremities. J Bone Joint Surg Am 1973;55:1188‑96.