Trigonal Cavernoma with Developmental Venous Anomaly Causing Intraventricular Haemorrhage: A Once in Blue Moon Association
Main Article Content
Abstract
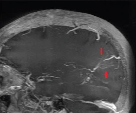
Intraventricular cavernomas are rare lesions with a high propensity for intraventricular hemorrhage and rehemorrhage. Those located in the trigone of the lateral ventricle are even rarer with <20 cases of trigonal cavernomas reported till date. We present a case of a mixed vascular malformation, a trigonal cavernoma with associated developmental venous anomaly (DVA) causing intraventricular hemorrhage.
Downloads
Article Details
Section

This work is licensed under a Creative Commons Attribution-NonCommercial 4.0 International License.
This is an open access journal, and articles are distributed under the terms of the Creative Commons Attribution-NonCommercial-ShareAlike 4.0 License, which allows others to remix, tweak, and build upon the work non-commercially, as long as appropriate credit is given and the new creations are licensed under the identical terms.
How to Cite
References
1. Kivelev J, Niemelä M, Kivisaari R, Hernesniemi J. Intraventricular cerebral cavernomas: A series of 12 patients and review of the literature. J Neurosurg 2010;112:140‑9.
2. Anne G. Osborn Osborn’s Brain: Imaging, Pathology, and Anatomy. 1st ed. Salt Lake City, UT: Amirsys; 2012. p. 1300.
3. Ohbuchi H, Osaka Y, Ogawa T, Nanto M, Nakahara Y, Katsura K, et al. Trigonal cavernous malformation with intraventricular hemorrhage: A case report and literature review. J Med Invest 2012;59:275‑9.
4. Stavrinou LC, Stranjalis G, Flaskas T, Sakas DE. Trigonal cavernous angioma: A short illustrated review. Acta Neurochir (Wien) 2009; 151:1517‑20.
5. Kumar GS, Poonnoose SI, Chacko AG, Rajshekhar V. Trigonal cavernous angiomas: Report of three cases and review of literature. Surg Neurol 2006;65:367‑71.
6. Carrasco R, Pedrosa M, Pascual JM, Navas M, Liberal R, Sola RG. Cavernous angiomas of the lateral ventricles. Acta Neurochir (Wien) 2009; 151:149‑54.
7. Attar A, Ugur HC, Savas A, Yüceer N, Egemen N. Surgical treatment of intracranial cavernous angiomas. J Clin Neurosci 2001;8:235‑9.
8. Miyagi Y, Mannoji H, Akaboshi K, Morioka T, Fukui M. Intraventricular cavernous malformation associated with medullary venous malformation. Neurosurgery 1993;32:461‑4.