Atresia of the Proximal Left Common Iliac Artery Complicated by a Completely Thrombosed Saccular Aneurysm of the Terminal Abdominal Aorta in a Nigerian Female
Main Article Content
Abstract
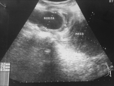
Congenital atresia of the common iliac artery is rare. A case of atresia of the left common iliac artery in a 40-year-old mother of three which was complicated by saccular aneurysm of the terminal abdominal aorta is reported. Radiological investigations revealed massive and complete thrombosis of the aneurysmal sac. Atresia of the proximal left common carotid was confirmed at surgery. Postoperative follow-up radiological investigations show return to normal caliber of the abdominal aorta.
Downloads
Article Details
Section

This work is licensed under a Creative Commons Attribution-NonCommercial 4.0 International License.
This is an open access journal, and articles are distributed under the terms of the Creative Commons Attribution-NonCommercial-ShareAlike 4.0 License, which allows others to remix, tweak, and build upon the work non-commercially, as long as appropriate credit is given and the new creations are licensed under the identical terms.
How to Cite
References
1. Kent KC. Clinical practice. Abdominal aortic aneurysms. N EnglJ Med 2014;371:2101‑8.
2. Sincos IR, da Silva ES, Ragazzo L, Belczak S, Nascimento LD, Puech‑Leão P. Chronic thrombosed abdominal aortic aneurysms: A
report on three consecutive cases and literature review. Clinics (Sao Paulo) 2009;64:1227‑30.
3. Wooten C, Hayat M, du Plessis M, Cesmebasi A, Koesterer M, Daly KP, et al. Anatomical significance in aortoiliac occlusive disease. Clin Anat 2014;27:1264‑74.
4. Al Midani A, Attar RA, Ahmad A, Othman MI, Bargouth I. Congenital hypoplasia of the right common iliac artery in a renal transplant recipient. Saudi J Kidney Dis Transpl 2010;21:1137‑9.
5. Sakalihasan N, Limet R, Defawe OD. Abdominal aortic aneurysm. Lancet 2005;365:1577‑89.
6. Rahim SA, Rowe VA. Abdominal Aortic Aneurysm. Available from: http://www.emedicine.medscape.com/article/1979501‑overview#a1. [Last updated on 2015 Sep 28; Last accessed on 2016 Jul 20].
7. Kazi M, Thyberg J, Religa P, Roy J, Eriksson P, Hedin U, et al. Influence of intraluminal thrombus on structural and cellular composition of abdominal aortic aneurysm wall. J Vasc Surg 2003;38:1283‑92.
8. Dabydeen DA, Shabashov A, Shaffer K. Congenital absence of the right common iliac artery. Radiol Case Rep 2015;3:47.
9. Sugawara Y, Takagi A, Sato O, Miyata T, Koyama H, Kimura H, et al. Clinical analysis of abdominal aortic aneurysms associated
with iliofemoral occlusive disease. Jpn Circ J 1997;61:14‑8.
10. Ross R. Atherosclerosis – an inflammatory disease. N Engl J Med 1999;340:115‑26.