Imaging Clues for Exophytic liver lesions
Main Article Content
Abstract
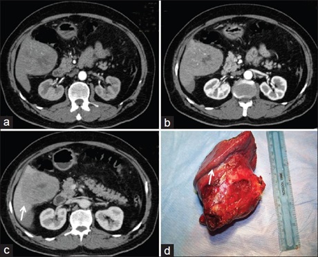
Preoperative diagnosis of the organ of origin in cases of exophytic lesions of liver is difficult and a challenge for the radiologist and clinicians. It needs careful examination and interpretation of radiological findings for correct diagnosis. We present our experience with exophytic liver lesions in four patients diagnosed with hepatocellular adenoma, hepatocellular carcinoma (HCC), cavernous hemangioma, and hydatid cyst, and highlighted these issues.
Downloads
Article Details
Section

This work is licensed under a Creative Commons Attribution-NonCommercial 4.0 International License.
This is an open access journal, and articles are distributed under the terms of the Creative Commons Attribution-NonCommercial-ShareAlike 4.0 License, which allows others to remix, tweak, and build upon the work non-commercially, as long as appropriate credit is given and the new creations are licensed under the identical terms.
How to Cite
References
1. Bader TR, Braga L, Semelka RC. Exophytic benign tumors of the liver: Appearance on MRI. Magn Reson Imaging 2001;19:623‑8.
2. Minami M, Ohmoto K, Charnsangavej C, Kawauchi N, Itai Y, Sasaki S. Origin of abdominal tumors: Useful findings and signs on tomographic imaging. Radiology 1996;20:491‑9.
3. Nishino M, Hayakawa K, Minami M, Yamamoto A, Ueda H, Takasu K. Primary retroperitoneal neoplasms: CT and MR imaging findings with anatomic and pathologic diagnostic clues. Radiographics 2003;23:45‑57.
4. Honma K. Adreno‑hepatic fusion. An autopsy study. Zentralbl Pathol 1991;137:117‑22.
5. Okuda K. Hepatocellular carcinoma: Clinicopathological aspects. J Gastoenterol Hepatol 1997;12:S314‑8.
6. Woo HS, Lee KH, Park SY, Han HS, Yoon CJ, Kim YH. Adrenal cortical adenoma in adrenohepatic fusion tissue: A mimic of
malignant hepatic tumor at CT. AJR Am J Roentgenol 2007;188: W246‑8.
7. Kim HJ, Lee DH, Lim JW, Ko YT, Kim KW. Exophytic benign and malignant hepatic tumors: CT imaging features. Korean J Radiol
2008;9:67‑75.
8. M Mashfiqul AS, Tan YM, Thng CH, Cheow PC, Chung YF, Chow PK, et al. Pedunculated HCC or adrenal metastasis: A diagnostic conundrum. Singapore Med J 2007;48:e50‑2.
9. Ichikawa T, Federle MP, Grazioli L, Nalesnik M. Hepatocellular adenoma: Multiphasic CT and histopathologic findings in
25 patients. Radiology 2000;214:861‑8.
10. Szklaruk J, Silverman PM, Charnsangavej C. Imaging in the diagnosis, staging, treatment, and surveillance of hepatocellular
carcinoma. AJR Am J Roentgenol 2003;180:441‑54.
11. Moriwaki K, Miyoshi E. Fucosylation and gastrointestinal cancer. World J Hepatol 2010;2:151‑61.
12. Nakagawa T, Moriwaki K, Terao N, Nakagawa T, Miyamoto Y, Kamada Y, et al. Analysis of polarized secretion of fucosylated
alpha‑fetoprotein in HepG2 cells. J Proteome Res 2012;11:2798‑806.